Secret Blood Testing (Sample Data: Here)

Drag and drop here
PNG or JPG, max 5MB
Analyzing...
Selected: No file selected
Educational UI only. This is not medical advice and cannot diagnose conditions. For medical concerns, consult a qualified clinician. Image quality and zoom level matter: the Cell Types reference tab shows the recommended framing for centering and cropping a single target cell.

Cell Type Reference

Our model is trained to recognize the 16 cell types shown below. Best results come from images captured with clinical-grade microscopy and consistent smear prep, focus, and lighting similar to the training data. See above for sample data.

Basophil
Basophil
Rare granulocyte involved in histamine signaling; typically low in normal blood.
Specific clue: can rise with allergic states; basophilia can also appear in myeloproliferative disorders.
Eosinophil
Eosinophil
Granulocyte active in allergy/asthma pathways and some parasitic responses.
Often reactive: allergies/asthma/parasites; persistent marked elevation can require further evaluation.
Hairy Cell
Hairy Cell
Lymphoid cell with characteristic ‘hair-like’ projections; morphology can be distinctive.
High concern when confirmed: classically associated with hairy cell leukemia; diagnosis is clinical and lab-confirmed.
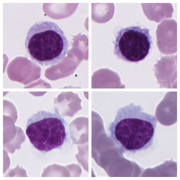
Lymphocyte
Lymphocyte
Includes T- and B-cells; commonly elevated with viral immune responses.
Often reactive: viral illness can raise counts; persistent high counts may require hematology workup depending on context.
Lymphocyte (Large Granular)
Lymphocyte (Large Granular)
Often NK/T lineage with prominent granules; participates in cytotoxic defense.
Mixed: can appear with viral/reactive states; rarely linked to LGL-type disorders when persistent.
Lymphocyte (Neoplastic)
Lymphocyte (Neoplastic)
Atypical lymphocyte features can suggest a clonal process in the right clinical context.
High concern: may align with leukemia/lymphoma patterns; requires confirmatory clinical testing.
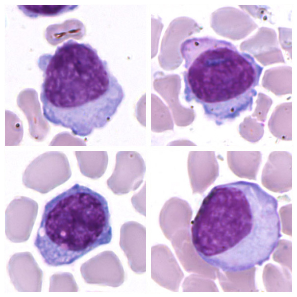
Metamyelocyte
Metamyelocyte
Immature granulocyte with kidney-bean nucleus; part of the left-shift spectrum.
Inflammatory pattern: can rise in severe infection/stress; context and counts matter.
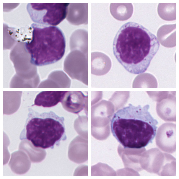
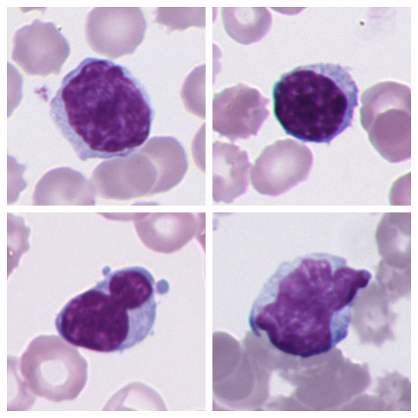
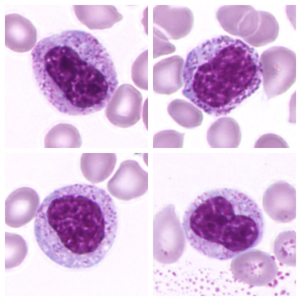
Monocyte
Monocyte
Large phagocyte that clears debris and helps coordinate immune response.
Reactive pattern: may rise in chronic infection/inflammation or recovery states; persistent monocytosis needs evaluation.
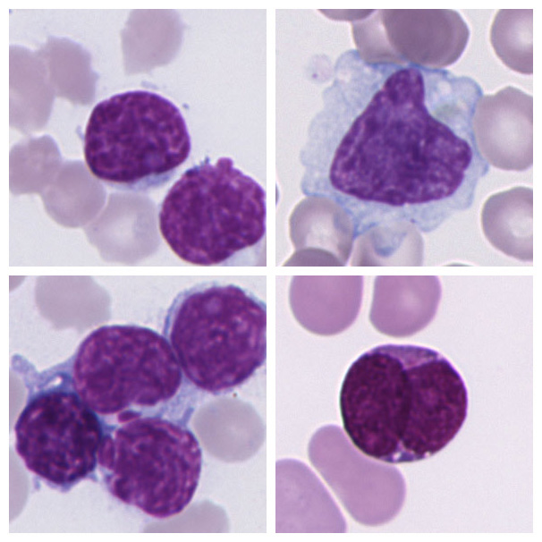
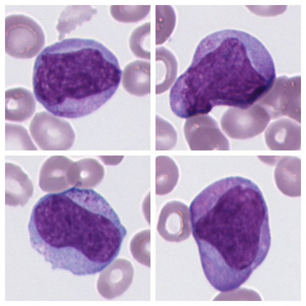
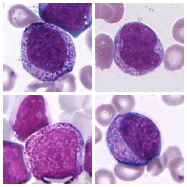
Myeloblast
Myeloblast
Very immature myeloid cell. Seeing blasts in blood is a major abnormal finding.
High concern: can be associated with acute leukemia or marrow failure syndromes; needs clinical correlation.
Myelocyte
Myelocyte
Often the earliest immature granulocyte seen in a benign left shift.
Mixed concern: may appear with severe infection/inflammation; persistent elevation can suggest marrow disorders.
Neutrophil Band
Neutrophil Band
Slightly immature but functional neutrophil; common in acute bacterial responses.
Often reactive: frequently seen with bacterial infection or physiologic stress; low cancer specificity alone.
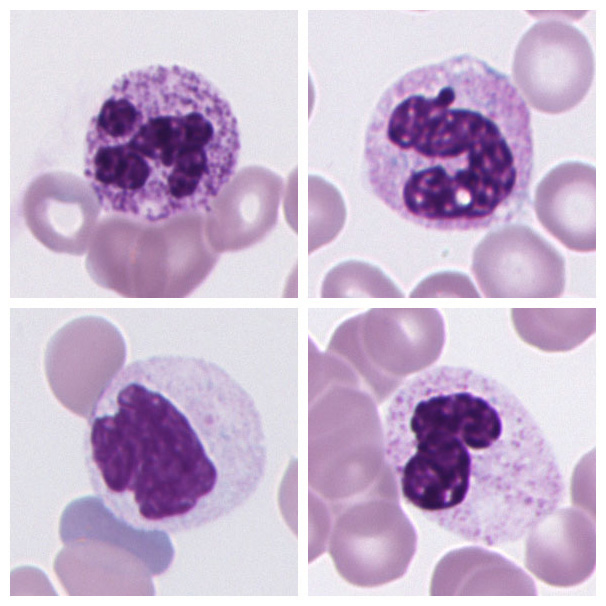
Neutrophil Segmented
Neutrophil Segmented
Most common WBC. Primary defense against bacteria and acute inflammation.
Baseline finding: high counts often infection/steroids; low counts can occur with meds, autoimmune, or sepsis.
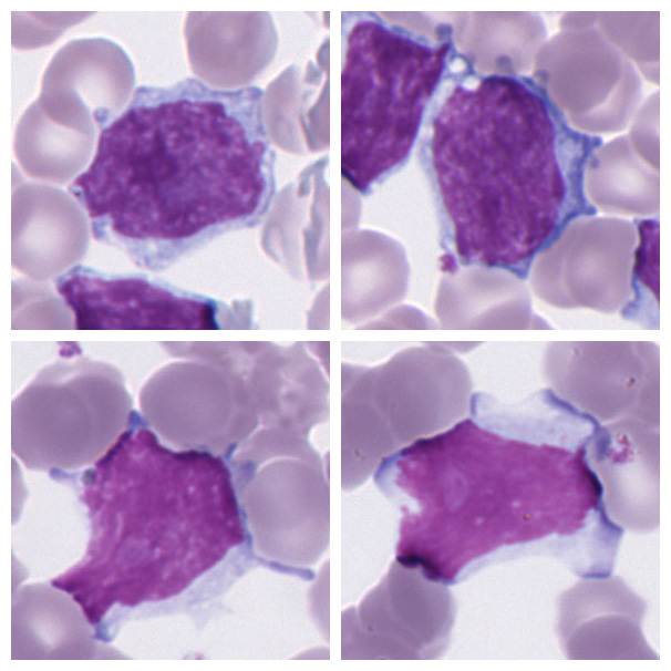
Plasma Cell
Plasma Cell
Rare in normal peripheral blood; usually lives in marrow or lymph nodes.
High concern: uncommon in blood. Often linked to plasma cell disorders; sometimes severe immune activation.
Promyelocyte
Promyelocyte
Very early granulocyte precursor. Presence in blood is highly unusual.
Critical concern: classically linked with APL risk patterns; urgent clinical follow-up is standard.
Promyelocyte (Atypical)
Promyelocyte (Atypical)
Abnormal promyelocyte morphology; may show dense granules and Auer rod bundles.
Very high concern: strongly associated with APL-type presentations in clinical settings.
Normoblast
Normoblast
An immature red blood cell that still contains a nucleus. Normally confined to bone marrow, not peripheral blood.
High concern in adults: may be seen with severe anemia, marrow stress, hypoxia, or marrow infiltration. Clinical context is essential.
Educational UI only. This is not medical advice and cannot diagnose conditions. For medical concerns, consult a qualified clinician. Image quality and zoom level matter: the Cell Types reference tab shows the recommended framing for centering and cropping a single target cell.